Tuesday, March 11, 2025

Hard evidence of soft teeth: the oral symptoms of hypophosphatasia


Researchers from Osaka University highlight the various dental symptoms of hypophosphatasia, a skeletal disease, in an attempt to improve its diagnosis and treatment

Peer-Reviewed Publication

Osaka University

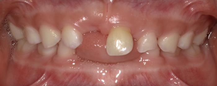
Fig. 1 

image: 

Intraoral photographs of the case of a boy aged 4 years with mild type HPP.

view more 

Credit: Osaka University Dental Hospital

Osaka, Japan – Hypophosphatasia is a relatively common skeletal disease that primarily affects bone and tooth strength. In the third national dental survey of hypophosphatasia in Japan, recently published in Scientific Reports, researchers analyzed the dental issues faced by Japanese patients in their largest survey to date. Their findings provide valuable information for dentists and medical doctors who treat this often misunderstood disease.

People with hypophosphatasia have variants in the gene responsible for making tissue-nonspecific alkaline phosphatase, which is important for bone mineralization. Although this generally leads to weakened bones, issues with teeth are also common. Less severe forms of hypophosphatasia are often diagnosed when the first teeth fall out earlier than expected, before 4 years of age. Dentists are therefore a major care provider for children with this disease—but they aren’t always familiar with its symptoms.

To explore the dental issues in patients with hypophosphatasia, researchers from Osaka University have conducted nationwide surveys of dental clinics every 5 years since 2013. In the most recent survey, they collected data from 103 cases from 30 clinics. This represents a big jump in numbers from the last two surveys (with 19 and 52 cases), allowing the researchers to conduct an in-depth analysis of the dental issues faced by Japanese patients.

“We had enough cases that we could break them down into two groups—those whose symptoms involved the teeth only, known as odonto-type disease, and those who had other symptoms, which we termed non-odonto-type disease,” explains Rena Okawa, lead author of the study. “We were surprised to see big differences in oral manifestations between the two groups.”

Specifically, the patients with odonto-type hypophosphatasia were more likely to lose their first teeth early, whereas those with non-odonto-type disease were more likely to have tooth misalignment and tooth hypomineralization (where the enamel on the outside of the teeth softens). Non-odonto-type disease was also linked to poor oral habits, such as finger sucking and tongue thrusting, and problems with swallowing.

“The trends that we observed in this study will be helpful for dentists who might come across patients with hypophosphatasia in their clinics,” says Kazuhiko Nakano, senior author. “Improved knowledge of the various ways this disease presents will lead to better diagnostic rates and earlier treatments for affected patients.”

Given that there is now an enzyme replacement therapy available to treat hypophosphatasia, its early diagnosis is particularly important for preventing problems with adult teeth later in life. The researchers hope that their findings will allow dentists to identify suspected cases of hypophosphatasia early and recommend appropriate multidisciplinary treatments.

###

The article, “Japanese nationwide dental survey of hypophosphatasia reveals novel oral manifestations,” was published in Scientific Reports at DOI: https://doi.org/10.1038/s41598-025-91043-7

No comments: